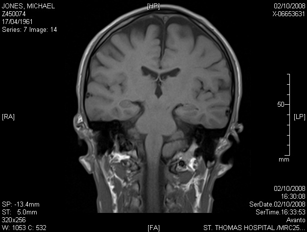
Image 7.14 — in this image, approximately 6mm to the rear of 7.13, the same object appears more clearly defined.

« 7.13 (full)  |  7.14 (detail x4)  |  7.15 (full) »